فوائد الليمون للوجه لحب الشباب نتحدث عنها من خلال مقالنا هذا كما نذكر لكم وصفات مختلفة من الليمون لعلاج حب الشباب ونوضح لكم اسباب مختلفة للإصابة بها.
فوائد الليمون للوجه لحب الشباب

قد يساعد الليمون على مقاومة حب الشباب والندوب التي قد تخلفها البثور وراءها بعد تعافي الجلد منها، وتعزى فوائد الليمون في هذا الصدد لقدرة الليمون المحتملة على:
تنظيم إفرازات الزهم في البشرة
يتمتع عصير الليمون بخواص قابضة للبشرة (Astringent)، وهذه الخواص تعزى لغنى عصير الليمون ببعض الأحماض، مثل حمض السيتريك (Citric acid)، فهذا النوع من الأحماض الطبيعية قد يساعد على تخليص البشرة من الزهم الزائد ومنع تراكم الزهم في داخل مسام البشرة، مما قد يساعد على مقاومة حب الشباب.
كما قد يساعد محتوى الليمون من فيتامين ج تحديدًا على تجفيف البثور، مما قد يسرع وتيرة تعافي الجلد منها.
تخليص البشرة من البكتيريا
العوامل التي قد تلعب دورًا في ظهور البثور على البشرة عديدة، ولكن أبرز هذه العوامل هو وجود بعض أنواع البكتيريا في مسام الجلد المغلقة، ونظرًا لما يتمتع به الليمون من خواص طبيعية مضادة للبكتيريا، قد يساعد الاستخدام الموضعي لليمون على علاج حب الشباب.
مقاومة الالتهابات
يحتوي كل من عصير الليمون وزيت الليمون العطري المستخرج من قشور الليمون على مواد تتمتع بخواص طبيعية مضادة للالتهاب، مثل مادة الليمونين (Limonene)، لذا قد يساعد استخدام الليمون على تخفيف حدة أي احمرار أو حكة أو تهيج حاصل في البشرة لا سيما في محيط البثور.
تحفيز تعافي البشرة وتفتيح الندوب
كما قد يكون الليمون مكونًا طبيعيًا مقاومًا لحب الشباب ولندوب حب الشباب، بسبب احتوائه على فيتامين ج وبعض المواد المضادة للأكسدة، والتي قد تساعد علىتفتيح ندوب حب الشباب أو التقليل من فرص تكون الندوب بعد تعافي البثور وتسريع تعافي البشرة
طرق علاج حب الشباب بالليمون
عصير الليمون
-إغمس كرة من القطن في عصير الليمون.
-مرر القطنة المبللة علي المناطق المصابة .
-أترك العصير علي بقع حب الشباب لمدة تتراوح بين 5 إلي 10 دقائق .
-إغسل وجهك بالماء .
الزبادي والليمون
-إغمس كرة من القطن في عصير الليمون.
-مرر القطنة المبللة علي المناطق المصابة.
-ضع الزبادي علي وجهك بالكامل كقناع للوجه .
-اترك القناع علي وجهك لمدة 15 دقيقة ثم أغسلة بالماء.
عسل النحل والليمون
-أخلط ملعقة كبيرة من عصير الليمون مع ملعقة كبيرة من عسل النحل .
-ضع الخليط علي وجهك كقناع للوجه .
-أتركه لمدة 20 دقيقة .
-لا تحرك وجهك حتي يتماسك القناع.
أشطف وجهك بالماء .
ماء الورد والليمون
-أخلط ماء الورد وعصير الليمون بنسب متساوية .
-أغمس كرة من القطن في الخليط .
-ضع الخليط علي الجلد المتهيج.
-أتركه لمدة من 20 إلي 30 دقيقة .
-أغسل وجهك برفق.
أسباب ظهور حب الشباب المفاجئ
في جداولنا المزدحمة بشكل عام ، ننسى أن نلاحظ وفقا لتقرير موقع “onlymyhealth” بعض العوامل التي تنتشر البثور وحب الشباب، وفيما يلي 5 أشياء مفاجئة يمكن أن تؤدي أيضًا إلى ظهور حب الشباب:
انخفاض الرطوبة خلال سفرك
لابد أنك لاحظت أنه بعد السفر من الرحلة تظهر بعض البثور.، يحدث هذا بسبب التغيرات في البيئة، فالسفر بالطائرة يغير الرطوبة لأن الرطوبة في المقصورة أثناء الرحلة تصل إلى 20 % ، ولكن الرطوبة في المتوسط ترتفع حتى 30 %، كل هذا يحدث بسبب انخفاض الرطوبة ، مما يسمح بإنتاج المزيد من الزيت الناتج عن ظهور البثور المؤلمة.
معجون أسنانك
هل حصلت على بثرة بالقرب من فمك؟ إذا كانت الإجابة بنعم ، فإن السبب هو معجون أسنانك! نعم ، وفقًا لجوشوا زيشنر ، دكتوراه في الطب في مدينة نيويورك ، يقول إن بعض معجون الأسنان المفلور يمكن أن يسبب طفحًا شبيهًا بحب الشباب بالقرب من الفم مما قد يكون مؤلمًا للغاية، ولتجنب ذلك ، استخدم معجون الأسنان العضوي غير المفلور.
تفجير البثور
كثير من الناس لديهم عادة تفرقع البثور، ولكن يمكن أن يؤدي إلى تفاقم الموقف لأنه عندما تفرقع أو تثقب بثرة ، فإنها تنفجر القيح والبكتيريا والدم وخلايا الجلد الميتة على جلدك والتي يمكن أن تؤدي إلى المزيد من البثور، وقد يصيب القيح مناطق أخرى من وجهك أيضًا ، وقد تظهر البثور هناك. يمكن أن يؤدي ذلك أيضًا إلى زيادة الالتهاب وأحيانًا ترك ندبة دائمة على وجهك، لذلك إذا كنت لا تريد المزيد من البثور والعيوب ، فقاوم نفسك من تفجيرها
روتينك بعد التمرين
عند ممارسة الرياضة أو التمارين الرياضية ، تتعرق كثيرًا، و يمكن لهذا العرق أن يلتقط الأوساخ والزيوت على الجلد ويؤدي إلى حدوث كسر إذا لم تغسله ، لذا تأكد من غسل وجهك بشكل صحيح بعد جلسة التمرين، و من الضروري استهلاك الكثير من الماء وترطيب نفسك بشكل كاف بالسوائل لأن بعد العمل نفقد الماء من أجسامنا وندرة الماء يمكن أن تؤدي إلى البثور.
فرش المكياج التي تنسي تنظيفها
كل فتاة تحب وضع الماكياج ، ولكن إلى جانب ذلك ، من الضروري تنظيف فرش الماكياج وخلاطات التجميل، و إذا لم يتم تنظيفها بانتظام وبشكل صحيح ، فسيبدأ الغبار والزيت وخلايا الجلد الميتة والماكياج المتبقي في البناء عليها، ثم تنتشر هذه المجموعة من القذارة على الجلد مما قد يسد مسامك ويزيد من خطر الإصابة بالبثور.
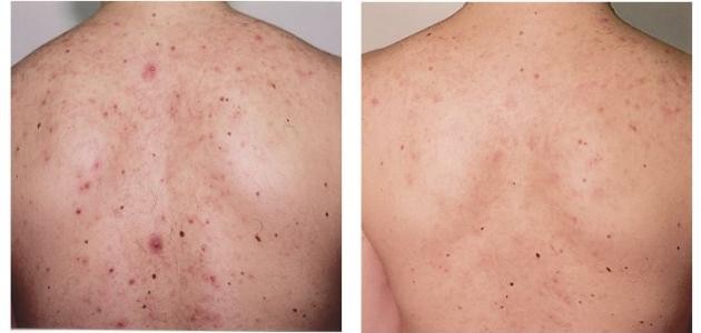
أنواع حب الشباب
تختلف أنواع حب الشباب من حيث الحجم، واللون، ومستوى الألم في حين أن الرؤوس البيضاء والرؤوس السوداء هي أكثر أنواع حب الشباب شيوعًا، يمكن أن تحدث أنواع أخرى أيضًا ومن المحتمل أن تسبب الالتهابية ندبًا في جلدك وتشمل هذه:
الحطاطات (Papules):
عبارة عن نتوءات صغيرة وحمراء، ناتجة عن بصيلات الشعر الملتهبة أو المصابة.
البثرات (Pustules):
عبارة عن بثور حمراء صغيرة لها صديد في نهايتها.
العقيدات الصلبة (Nodules):
وغالبًا ما تكون كتلًا مؤلمة تحت سطح جلدك.
الكيسات (Cysts):
عبارة عن كتل كبيرة موجودة تحت جلدك، تحتوي على صديد وعادةً ما تكون مؤلمة.