انواع الانسجة الحيوانية

معلومات عامة  -  بواسطة:   اخر تحديث:  2021-07-21
انواع الانسجة الحيوانية

ما هي أنواع الأنسجة الحيوانية

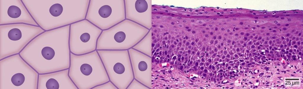
الأنسجة هي مجموعات من الخلايا المتشابهة تؤدي وظيفة معينة ويمكن تقسيم أنواع الأنسجة الحيوانية إلى أربعة أنواع وهم:الأنسجة الطلائيةتتكون الأنسجة الطلائية من خلايا تغطي الأسطح (مثل الجلد) وأنابيب الخطوط والتجاويف (مثل أعضاء الجهاز الهضمي والأوعية الدموية والأنابيب الكلوية والممرات الهوائية) ، يتكون النسيج الطلائي عادةً من طبقة واحدة من الخلايا ، ولكن في بعض الحالات قد يكون هناك أكثر من طبقة واحدة ، جميع الأنسجة الظهارية عبارة عن أسطح حرة متصلة بالطبقات الأساسية للغشاء القاعدي.هناك أنواع مختلفة من الأنسجة الطلائية والتي يتم تسميتها وفقًا لعدد الطبقات التي تشكلها وشكل الخلايا الفردية التي تتكون منها تلك الطبقات تشير الطلائية البسيطة إلى طبقة واحدة من الخلايا وتشير الظهارة الطبقية إلى طبقتين أو أكثر من الخلايا وتشير الظهارة الحرشفية إلى الخلايا المسطحة ، وتشير الظهارة المكعبة إلى الخلايا التي تكون على شكل مكعب وتشير الظهارة العمودية إلى الخلايا الممدودة رأسياً ، وتشير الظهارة الهدبية إلى الخلايا الظهارية التي تحتوي على العديد من النتوءات الصغيرة الشبيهة بالشعر.ومن الوظائف العامة للنسيج الطلائي:

  • يوفر حاجزًا بين البيئة الخارجية والجهاز الذي يغطيه.
  • متخصص في وظيفة الإفراز والامتصاص.
  • يحمي الكائنات الحية الدقيقة ، والإصابة ، وفقدان السوائل.
  • تفرز الفضلات مثل العرق من الجلد.
  • الأنسجة العضلية هناك ثلاثة أنواع من الأنسجة العضلية وهم:
  • العضلة الهيكلية هي عضلة طوعيةهو مخطط في المظهر يتم ترتيب حزم الأنسجة العضلية الهيكلية بانتظام ويتم تثبيته بواسطة الأوتار ويستخدم للتأثير على حركة العضلات والهيكل العظمي ، مثل الحركة ، والحفاظ على الموقف العضلات لها عمل انعكاسي ولكن يمكنها أيضًا الاستجابة للتحكم الواعي.
  • العضلة الملساءهي عضلة لا إرادية غير مخططة ذات نهايات مدببة ، ويوجد داخل جدران الأوعية الدموية مثل الشرايين والأوردة ، وتوجد العضلات الملساء أيضًا في الجهاز الهضمي والمسالك البولية والقصبة الهوائية وهي مسؤولة عن الانقباضات الإيقاعية اللاإرادية للتمعج ، اللازمة لتحريك الطعام عبر القناة الهضمية ، ولتوسيع وبناء الأوعية الدموية للتحكم في ضغط الدم.
  • عضلة القلب هي النسيج الرئيسي الذي يتكون منه القلب إنها عضلة لا إرادية مخططة المظهر ومع ذلك ، على عكس العضلات الهيكلية ، ترتبط عضلة القلب بزوايا متفرعة وغير منتظمة ، وتساعد الفروع المتصلة في التقلصات المنسقة للقلب.
  • الأنسجة العصبيةتصنف الخلايا المكونة للجهاز العصبي المركزي والجهاز العصبي المحيطي على أنها نسيج عصبي ، في الجهاز العصبي المركزي تشكل الأنسجة العصبية الدماغ والحبل الشوكي ، وفي الجهاز العصبي المحيطي ، تشكل الأنسجة العصبية الأعصاب القحفية والأعصاب الشوكية ، والتي تشمل الخلايا العصبية الحسية والحركية.وظيفة الأنسجةالعصبيةهي نقل النبضات العصبية في جميع أنحاء الجسم ، وتتكون الأعصاب من جسم الخلية (سوما) والتشعبات التي تتلقى النبضات والمحاور التي ترسل النبضات ، محاور الخلايا العصبية محاطة بغمد المايلين يتكون غمد المايلين من طبقات من المايلين ، وهي مادة دهنية بيضاء ، وتتمثل الوظيفة الرئيسية لغمد المايلين في عزل الألياف العصبية ، كما أنه يزيد من سرعة النبضات التي تنقلها الخلية العصبية هناك ثلاثة أنواع من الخلايا العصبية وهي:
  • الخلايا العصبية الحسيةهي المسؤولة عن إرسال معلومات حول البيئة (تسمى المحفزات) إلى الجهاز العصبي المركزي ، ويتم تنشيطها عن طريق اللمس والضوء ودرجة الحرارة والضغط والسمع وما إلى ذلك تحمل الخلايا العصبية الحسية (أو الخلايا العصبية الحسية) النبضات (الإشارات الكهربائية) من المستقبل إلى الجهاز العصبي المركزي (CNS).
  • الخلايا العصبية الحركيةهذه الخلايا العصبية قصيرة جدًا مقارنة بالخلايا العصبية الحسية والحركية ، تربط الموصلات أو الخلايا العصبية الداخلية بين الخلايا العصبية الحسية والخلايا العصبية الحركية ينتقل الدافع من جسم الخلية في نهاية الرأس على طول المحور العصبي القصير إلى التشعبات.
  • انترنيويون تحمل الخلايا العصبية الحركية نبضات من الجهاز العصبي المركزي إلى العضلات أو الغدد ، في معظم الحالات ، تتسبب الخلايا العصبية الحركية في تقلص العضلات (الحركة) ، ولكن يمكن أن تسبب الخلايا العصبية الحركية أيضًا إفراز المواد بواسطة الغد ، تسبب العصبون الحركي استجابة عبر مواد كيميائية تعرف بالناقلات العصبية.
  • الأنسجة الضامةالنسيج الضام هو نسيج بيولوجي مهم في دعم أو توصيل أو فصل أنواع مختلفة من الأنسجة والأعضاء في الجسم ، وتتكون جميع الأنسجة الضامة من خلايا وألياف (مثل الكولاجين) ومصفوفة خارج الخلية ، ويختلف نوع المصفوفة بين الخلايا باختلاف الأنسجة الضامة هناك أنواع مختلفة من الأنسجة الضامة بوظائف مختلفة.

    تصنيف الانسجة الطلائية

    يتم تقسيم الأنسجة الطلائية إلى أربع أنواع وهم:

  • طلائية حرشفية
  • تكون الخلايا الظهارية الحرشفية بشكل عام مستديرة ومسطحة ولها نواة صغيرة مركزية ، مخطط الخلية غير منتظم قليلاً ، وتتناسب الخلايا معًا لتشكيل غطاء أو بطانة ، عندما يتم ترتيب الخلايا في طبقة واحدة (ظهارة بسيطة) ، فإنها تسهل الانتشار في الأنسجة ، مثل مناطق تبادل الغازات في الرئتين وتبادل المغذيات والفضلات في الشعيرات الدموية.
    تصنيف الانسجة الطلائية
  • طلائية المكعبة
  • الخلايا الطلائية المكعبة هي على شكل مكعب مع نواة مركزية واحدة ، وتوجد بشكل شائع في طبقة واحدة تمثل ظهارة بسيطة في الأنسجة الغدية في جميع أنحاء الجسم حيث تستعد وتفرز مادة غدية ، توجد أيضًا في جدران الأنابيب وفي مجاري الكلى والكبد.
    تصنيف الانسجة الطلائية
  • الطلائية العمودية
  • تكون الخلايا الطلائية العمودية أطول من عرضها: فهي تشبه كومة من الأعمدة في طبقة طلائية ، وتوجد بشكل شائع في ترتيب أحادي الطبقة ، يبدو أن نوى الخلايا الظهارية العمودية في الجهاز الهضمي مبطنة عند قاعدة الخلايا ، تمتص هذه الخلايا المواد من تجويف السبيل الهضمي وتجهزها للدخول إلى الجسم عبر الدورة الدموية والجهاز الليمفاوي.
    تصنيف الانسجة الطلائية
  • الطلائية الانتقالية
  • تظهر الخلايا الانتقالية أو الخلايا الظهارية في الجهاز البولي فقط ، في المقام الأول في المثانة والحالب ، يتم ترتيب هذه الخلايا في طبقة طبقية ، ولكن لديها القدرة على الظهور متراكمة فوق بعضها البعض في مثانة مريحة وفارغة ، ومع امتلاء المثانة البولية ، تتكشف الطبقة الظهارية وتتوسع إلى تمسك بحجم البول الذي يتم إدخاله فيه عندما تمتلئ المثانة ، تتوسع وتصبح البطانة أرق ، بمعنى آخر ينتقل النسيج من السميك إلى الرقيق.[1]
    تصنيف الانسجة الطلائية

    المراجع