انواع مرض الحزاز بالصور

معلومات عامة  -  بواسطة:   اخر تحديث:  2020-11-14
انواع مرض الحزاز بالصور

مرض الحزاز

  • الحزاز هو مرض مزمن ومناعي نتيجة وجود التهابات يؤثر على الجلد وجميع الأغشية المخاطية وقد يظهر على الشعر والأظافر غالبًا ما يشتمل الحزاز المسطح الجلدي (CLP) على الأسطح المثنية للأطراف ويظهر على شكل حطاطات بنفسجية صغيرة مسببة للحكة في البالغين في منتصف العمر .
  • هذه الحطاطات حاكة، أرجوانية، متعددة الأضلاع يمكن أن يكون الفم هو العرض السريري الوحيد للمرض أو مصحوبًا بمظاهر جلدية أو مخاطية أخرى بما في ذلك منطقة الأعضاء التناسلية والجهاز الهضمي والعينين .
  • الانتشار الدقيق لـ مرض الجزاز غير معروف ومع ذلك ، فإن معدل الانتشار المقدر لـ LP هو في حدود 0.22٪ إلى 5٪ في جميع أنحاء العالم .
  • تفتقر الدراسات الوبائية إلى معايير تشخيصية واضحة أو منهجية موحدة. علاوة على ذلك ، فإن العرض السريري المتنوع والطبيعة بدون أعراض للنوع الفرعي الأكثر شيوعًا من OLP يجعل المرض مشكلة صحية غير مشخصة .
  • حدد مكارتان وهيلي خمسة وأربعين دراسة حسبت انتشار أو حدوث مرض الجزاز خلصوا إلى معدل انتشار إجمالي معدل حسب العمر بنسبة 1.27٪ (0.96٪ عند الرجال و 1.57٪ عند النساء) في السويد.
  • كان معدل حدوث 0.032٪ – 0.037٪ في السكان البريطانيين .
  • يؤثر LP عادة على البالغين في منتصف العمر من كلا الجنسين .
  • لا يوجد ميل جنسي واضح لكن بعض التقارير تشير إلى غلبة طفيفة في النساء تصل إلى نسبة 2: 1 .
  • ومن المثير للاهتمام  أنه في أعلى 3 حالات في سلسلة حالات مرض الجزاز في مرحلة الطفولة ، تم الإبلاغ عن نسبة الإناث إلى الذكور لتكون 1: 2 .
  • يمكن تفسير هذا التباين من خلال معايير إدراج واستبعاد مختلفة ضمن الدراسات الميل النسبي للذكور في مرحلة الطفولة غير معتاد بالنسبة لمرض المناعة الذاتية ويشير إلى أن الآليات غير المعروفة الأخرى قد تكون متورطة في التسبب في المرض .[1]
  • أعراض مرض الحزاز

    تختلف علامات وأعراض مرض حزاز جلدي :

  • نتوءات أرجوانية مسطحة ، تظهر على الساعد الداخلي
  • ونتوءات أخرى تظهر على الرسغ أو الكاحل .
  • وقد تظهر بقع أحيانًا على الأعضاء التناسلية
  • البقع تكون مثير للحكة .
  • البثور التي تتطور لتشكل قشور .
  • بقع بيضاء في الفم أو على الشفتين أو اللسان
  • تقرحات مؤلمة في الفم أو المهبل
  • تساقط شعر
  • تغير في لون فروة الرأس
  • تلف الأظافر أو فقدانها
  • متى ترى الطبيب
  • راجع طبيبك أيضًا إذا كنت تعاني من أي علامات أو أعراض مرتبطة بالحزاز المسطح في منطقة الفم
  • يمكنك اللجوء للطبيب في حالة ظهور أعراض وبقع أيضا على الأعضاء التناسلية والأظافر.
  • المضاعفات
  • من الصعب التحكم في المرض إذا أصاب كلا من الفرج والمهبل ، فهو يسبب ألمًا شديدًا وقد يترك أثارا لا تزول في بعض الأحيان .
  • يمكن أن يصبح العجز الجنسي من المضاعفات طويلة المدى .
  • قد تؤثر تقرحات الفم على قدرتك على الأكل .
  • قد يظل الجلد المصاب أغمق قليلاً حتى بعد زوال الطفح الجلدي ، خاصة عند الأشخاص ذوي البشرة الداكنة .
  • يزيد الحزاز المسطح الفموي من خطر الإصابة بسرطان الفم .
  • إذا تُرك الحزاز المسطح في قناة الأذن دون علاج ، فقد يؤدي إلى فقدان السمع .[2]
  • مرض الحزاز وانواعه بالصور

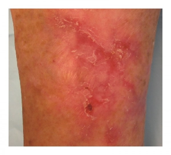
    مرض الحزاز الضخامي

  • يتميز مرض الحزاز الضخامي بفرط التقرن لويحات حمراء بنية حاكة حاكة إلى رمادية أرجوانية مع إبراز جرابي والتي تشمل عادة الأطراف ، وخاصة الساقين الأمامية والمفاصل الدماغي في توزيع متماثل .
  • وصف تشابهها مع الأشكال النثرية للصخور النارية كعلامة مفيدة في تمييز النوع الفرعي الضخامي عن التشخيصات التفاضلية الأخرى يمكن رؤية حطاطات متعددة .[1]
  • مرض الحزاز وانواعه بالصور
    مرض الحزاز الفرعي الحويصلي الفقاعيفي النوع الفرعي الحويصلي الفقاعي ، تتطور البثور داخل اللويحات والأطراف السفلية هي الموقع الرئيسي للإصابة .[1]
    مرض الحزاز وانواعه بالصور
    مرض الحزاز الإكلينيكي
  • الأكتيني هو نوع فرعي نادر يظهر على شكل بقع أو لويحات بها هالة ناقصة التصبغ تحيط بمركز مفرط التصبغ .
  • هذا المتغير أكثر انتشارًا في الأمريكيين الأفارقة والهنود والشرق الأوسط ويؤثر على المناطق المعرضة للشمس .[1]
  • مرض الحزاز وانواعه بالصور
    مرض الحزاز الحلقي
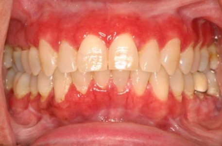
  • يمكن أن يظهر الحزاز المسطح في الفم بعدة أنماط مختلفة .
  • يوجد النمط الشبكي بشكل شائع على الخدين كخيوط بيضاء تشبه الشبكة ، وهي بارزة قليلاً .
  • يشار إلى هذه السطور أحيانًا باسم Wickham’s Striae يأتي اسم الحزاز من نبات يُرى غالبًا ينمو على الصخور بمظهره المطحلب الذي يشبه الشبكة .
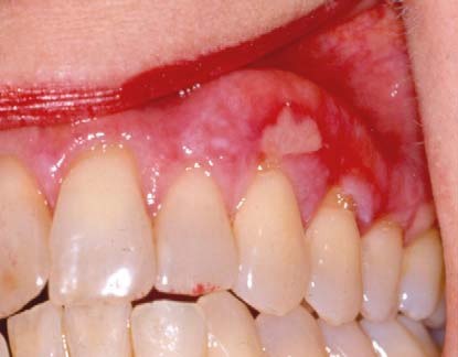
  • يمكن أن يؤثر النمط التآكلي (الضامر) على أي سطح مخاطي ، بما في ذلك الخدين واللسان واللثة غالبًا ما يظهر هذا الشكل باللون الأحمر الفاتح بسبب فقدان الطبقة العليا من الغشاء المخاطي في المنطقة المصابة .
  • في معظم الحالات ، يكون الأفراد المصابون بالحزاز المسطح التآكلي غير مرتاحين عند الأكل والشرب ، خاصةً مع درجات الحرارة القصوى أو الأطعمة الحمضية أو الخشنة أو الحارة .
  • في الحالات الشديدة ، يمكن أن يحدث تقرح  قد يعاني الأفراد المصابون بالقرحة من الألم حتى عند عدم تناول الطعام أو الشرب الشكل الأقل شيوعًا من الحزاز المسطح هو الحزاز المسطح الذي يشبه اللوح ، والذي يظهر على شكل سماكة كثيفة للأنسجة المخاطية .[3]
  • مرض الحزاز وانواعه بالصور
    مرض الحزاز وانواعه بالصور
    مرض الحزاز وانواعه بالصور
    مرض الحزاز الضموري
  • الحزاز المتصلب الضموري هو نقطة النهاية السريرية للـ LP الحلقي أو الضخامي المزمن مع آفات ضامرة .
  • قد يكون التشخيص صعبًا ما لم يكن المرض الأصلي موجودًا في مكان آخر من الجسم .
  • قد يكون التوزيع التشريحي للآفات مفيدًا لأنه يؤثر بشكل أساسي على نفس المناطق التي تشارك في المتغيرات الحلقيّة أو الضخاميّة .
  • قد يؤدي الاستخدام طويل الأمد للكورتيكوستيرويدات الموضعية القوية أو الفائقة القدرة على إصابة المريض بآفات ضامرة.[1]
  • مرض الحزاز وانواعه بالصور
    مرض الحزاز التصبغي
  • عادة ما يُرى في الهنود والأفراد ذوي البشرة الداكنة .
  • الآفات ثنائية بشكل مميز وتشمل مناطق معرضة للشمس على العكس من ذلك ، تم الإبلاغ عن حالات مرض الحزاز التصبغي LP pigmentosus-inversus في البيض والآسيويين ذوي البشرة الفاتحة ، والذي يؤثر عادة على المناطق بين الثنيات .[1]
  • مرض الحزاز وانواعه بالصور
    مرض الحزاز  التقليدي
  •  يتميز بالحطاطات المفرطة التقرن التي توجد غالبًا على فروة الرأس .
  • غالبًا ما يصيب الرأس ولكن يمكن أن يشمل أيضًا أجزاء أخرى من فروة الرأس .
  • يظهر في الإناث بشكل أكبر ويمكن أن يشمل الظفر والغشاء المخاطي
  • يمكن أيضًا تحفيز المرض عن طريق زراعة الشعر أو جراحة شد الوجه .[1]
  • مرض الحزاز وانواعه بالصور